Supawan Dental Clinic's logo

Supawan

Dental Clinic

ศุภวรรณทันตแพทย์คลินิค

"Your Smile Our Passion"

เพราะรอยยิ้มของคุณ คือความมุ่งมั่นของเรา

บริการของเรา

ดูบริการทั้งหมด
Supawan dental clinic

ศุภวรรณทันตแพทย์คลินิค

ดูแลสุขภาพช่องปากของคุณและครอบครัวด้วยความใส่ใจ เรามีประสบการณ์ในการดูแลรักษาทางทันตกรรมมายาวนาน กว่า 20 ปี ตั้งอยู่ใจกลางย่านปากเกร็ด เดินทางสะดวก และมีที่จอดรถที่เพียงพอ

เรามีทันตแพทย์เฉพาะทางให้บริการในหลายสาขา เช่น ทันตกรรมจัดฟัน ทันตกรรมรักษารากฟัน ทันตกรรมใส่ฟันปลอม ทันตกรรมศัลยกรรมช่องปาก

และมีการนำเทคโนโลยีทางทันตกรรมที่ทันสมัยมาให้บริการ เพื่อการรักษาที่แม่นยำและมีประสิทธิภาพสูงสุด เช่น เครื่องแสกนสามมิติสำหรับการจัดฟัน เครื่องเอ็กซ์เรย์สามมิติสำหรับการรักษารากฟันและการทำรากฟันเทียม

ที่นี่ เราดูแลคุณเสมือนคนในครอบครัว ด้วยความใส่ใจในทุกขั้นตอนการรักษา เรามุ่งมั่นที่จะมอบบริการทางทันตกรรมที่มีคุณภาพ ในราคาที่เหมาะสม

"เพราะรอยยิ้มของคุณ คือความมุ่งมั่นของเรา"

อ่านรายละเอียด

ตัวอย่างเคสการรักษา

เคสการรักษาทั้งหมด
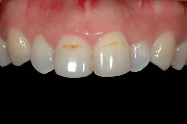
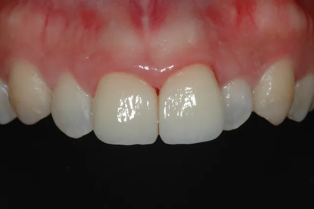
Before: ฟันหน้ามีช่องว่างไม่สวยงาม ทำการอุดปิดร่องฟันด้วยคอมโพสิตเรซิน
After: ฟันหน้ามีช่องว่างไม่สวยงาม ทำการอุดปิดร่องฟันด้วยคอมโพสิตเรซิน
◀▶

ฟันหน้ามีช่องว่างไม่สวยงาม ทำการอุดปิดร่องฟันด้วยคอมโพสิตเรซิน

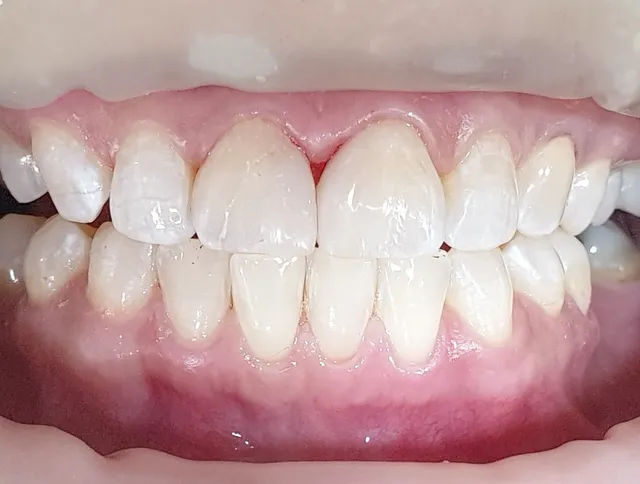
Before: ฟันซ้อนเก เรียงตัวไม่สวยงาม แก้ไขด้วยการจัดฟัน
After: ฟันซ้อนเก เรียงตัวไม่สวยงาม แก้ไขด้วยการจัดฟัน
◀▶

ฟันซ้อนเก เรียงตัวไม่สวยงาม แก้ไขด้วยการจัดฟัน

Before: ผิวหน้าฟันแตกเป็นหลุม มีสีดำ ไม่สวยงาม เคลือบผิวฟันด้วยวีเนียร์
After: ผิวหน้าฟันแตกเป็นหลุม มีสีดำ ไม่สวยงาม เคลือบผิวฟันด้วยวีเนียร์
◀▶

ผิวหน้าฟันแตกเป็นหลุม มีสีดำ ไม่สวยงาม เคลือบผิวฟันด้วยวีเนียร์